Niềng răng có điều trị hô được không?
Niềng răng có điều trị hô được không?

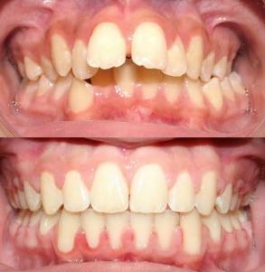
Chào bác sĩ nha khoa! Răng của em bị hô từ nhỏ nên gương mặt của em mất cân đối không được hài hòa lắm nhìn kém duyên, giờ em muốn điều trị...

Đọc thêm »

Niềng răng hô giá bao nhiêu tiền ?
Niềng răng hô giá bao nhiêu tiền ?

Chào bác sĩ! Hàm trên của em bị hô, trong rất kém duyên. Em muốn thực hiện niềng răng hô để nắn chỉnh lại những chiếc răng bị khiếm khuyết,...

Đọc thêm »

Phương pháp điều trị răng hô nhanh chóng hiệu quả
Phương pháp điều trị răng hô nhanh chóng hiệu quả

Răng hô là là khiếm khuyết mà răng hàm trên chìa ra phía trước quá mức so với cung hàm răng làm cho khuôn mặt mất đi sự cân đối. Nhiều ngườ...

Đọc thêm »

Phương pháp điều trị răng hô an toàn hiệu quả
Phương pháp điều trị răng hô an toàn hiệu quả

Răng hô là một dạng khiếm khiếm khuyết trên khuôn hàm khiến cho những ai mắc phải thường cảm thấy rất tự ti, mặc cảm với mọi người xung qua...

Đọc thêm »

Chỉnh răng hô giá bao nhiêu tiền ?
Chỉnh răng hô giá bao nhiêu tiền ?

Chào bác sĩ! Bác sĩ tư vấn giúp em chi phí chỉnh răng hô giá bao nhiêu tiền? răng của em bị khiếm khuyết hô từ nhỏ, mức độ hô cũng tương đố...

Đọc thêm »
 
 
Top